ΑΙΣΘΗΤΙΚΗ ΟΔΟΝΤΙΑΤΡΙΚΗ

Στο ιατρείο της στα Χανιά, η χειρουργός οδοντίατρος δρ. Μύρνα Τουρβαλή προσφέρει ένα εύρος ποιοτικών υπηρεσιών στον τομέα της αισθητικής οδοντιατρικής, καθώς επίσης και στο «Σχεδιασμό Χαμόγελου», σε άτομα που δεν χαρακτηρίζονται ως «ασθενείς», αλλά επιθυμούν την αλλαγή της αισθητικής εικόνας του χαμόγελού τους.

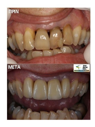
Λεύκανση

Η λεύκανση είναι μια απλή διαδικασία που απευθύνεται σε όλους ανεξαιρέτως. Στόχος είναι η δημιουργία ενός φωτεινού χαμόγελου, με την απομάκρυνση των χρωματικών λεκέδων.
 
Στις μέρες μας, χρησιμοποιούνται δύο είδη λεύκανσης.
 
1) Στο Ιατρείο. Το πλεονέκτημα αυτής της μεθόδου είναι τα άμεσα αποτελέσματα, με 2-3 εφαρμογές λευκαντικού παράγοντα.
2) Στο σπίτι. Υπό την επίβλεψη και συμβουλευτική του οδοντιάτρου, χρησιμοποιείται ηπιότερος λευκαντικός παράγοντας για μεγαλύτερο χρονικό διάστημα. Με αυτόν τον τρόπο επιτυγχάνεται το βέλτιστο αποτέλεσμα.
 
Τέλος, για την εφαρμογή αυτής της θεραπείας απαιτείται η καλή στοματική υγεία.

 

Λευκά Σφραγίσματα

Τα σφραγίσματα (εμφράξεις) αποτελούν μια εξαιρετικά συχνή επανορθωτική εργασία των οδοντιάτρων, που χρησιμοποιείται για την αποκατάσταση δοντιών που εμφανίζουν βλάβες λόγω τερηδόνας. Τα λευκά σφραγίσματα φτιάχνονται από σύνθετη ρητίνη, ένα υλικό το οποίο τοποθετείται στο δόντι σε ρευστή μορφή και σκληραίνει με την εφαρμογή φωτισμού πολυμερισμού. Τα σφραγίσματα αυτά προσφέρουν ένα απόλυτα φυσικό αποτέλεσμα, καθώς προσαρμόζονται στο χρώμα των δοντιών, παρέχοντας άψογα αισθητικά αποτελέσματα, και κυρίως σε σύγκριση με σκουρόχρωμα σφραγίσματα του παρελθόντος.

Όψεις Πορσελάνης

Οι όψεις πορσελάνης είναι η καλύτερη μέθοδος που χρησιμοποιείται με στόχο τη διόρθωση αισθητικών ατελειών των δοντιών, που αφορούν στο χρώμα, στο σχήμα, στο μέγεθος, στο διάστημα (το κενό μεταξύ των δοντιών), ή συγκλεισιακά προβλήματα. Πρόκειται για εξαιρετικά λεπτές φλούδες κεραμικού υλικού που τοποθετούνται στο πρόσθιο μέρος των δοντιών. Οι όψεις πορσελάνης έχουν ένα σημαντικό συγκριτικό πλεονέκτημα σε σχέση με άλλες μεθόδους, καθώς χρειάζονται ιδιαίτερα συντηρητικό τροχισμό των δοντιών (μικρό έως καθόλου). Επίσης, το αισθητικό αποτέλεσμα που επιτυγχάνεται μετά τις όψεις, εφόσον τοποθετηθούν σωστά και συντηρηθούν σωστά, θεωρείται μόνιμο.

Ολοκεραμικές Στεφάνες - ΓέφυρεςΟι ολοκεραμικές στεφάνες αποτελούν μια μέθοδο για την αισθητική αποκατάσταση των πρόσθιων κυρίως δοντιών. Είναι κατασκευασμένες εξολοκλήρου από ειδική υπερενισχυμένη πορσελάνη, παρέχοντας άριστο αισθητικό αποτέλεσμα. Το γεγονός της έλλειψης μετάλλου βοηθά στη μέγιστη προσέγγιση του άριστου αποτελέσματος. Ολοκεραμικά συστήματα χρησιμοποιούνται επίσης και για την κατασκευή γεφυρών, κυρίως σε πρόσθιες περιοχές του οδοντικού φραγμού.